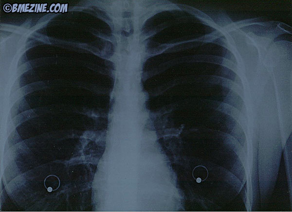
Seguro que cuando vas por la calle te encuentras a algún pavo que va lleno de aretes y te quedas mirándole con cara de ¿cómo es posible que lleve todo el cuerpo agujereado? Pues… si encima ha de ir a hacerse una radiografía… ¿qué pasa?
































·
Seguro que cuando vas por la calle te encuentras a algún pavo que va lleno de aretes y te quedas mirándole con cara de ¿cómo es posible que lleve todo el cuerpo agujereado? Pues… si encima ha de ir a hacerse una radiografía… ¿qué pasa?
































Deja una respuesta